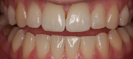
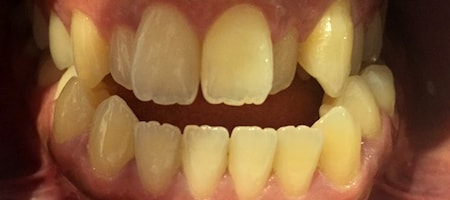
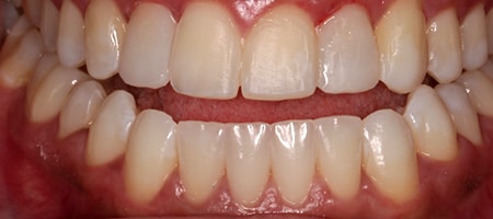
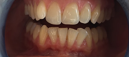
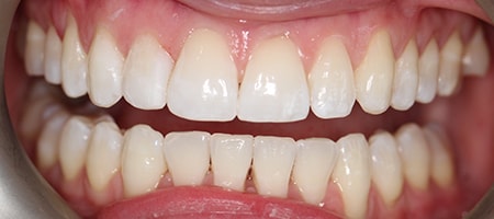
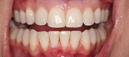
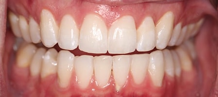
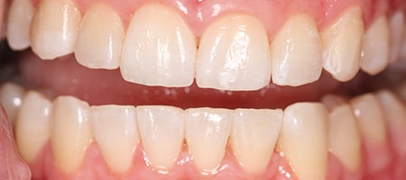
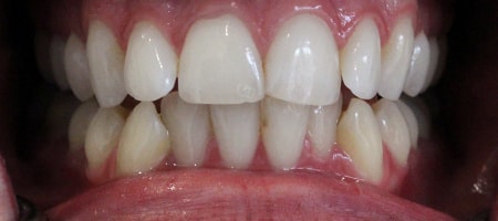
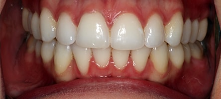
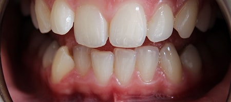
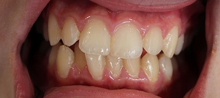
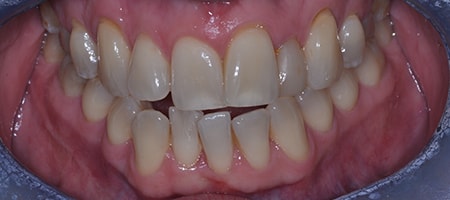
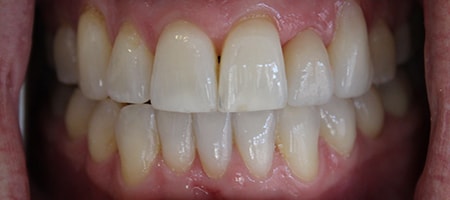
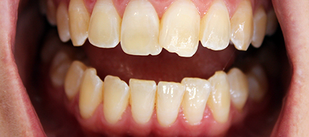
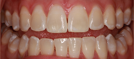
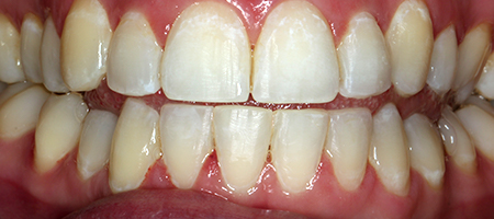
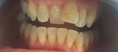
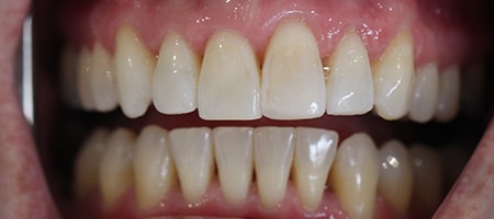
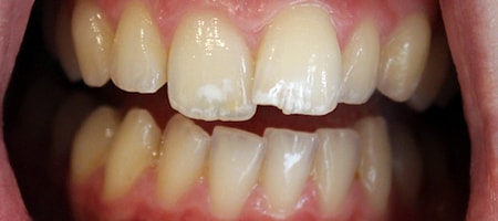
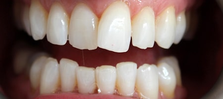
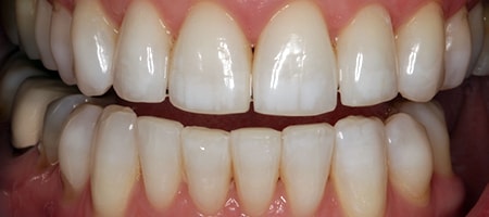
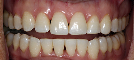
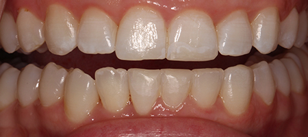
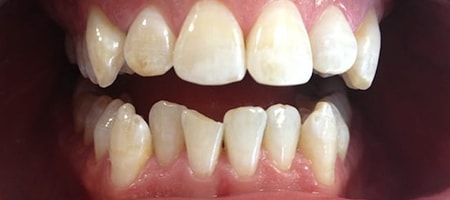
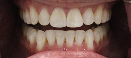
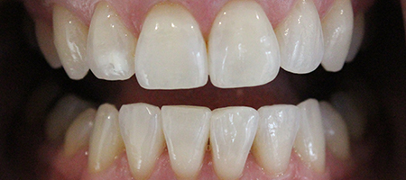
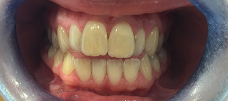
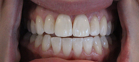
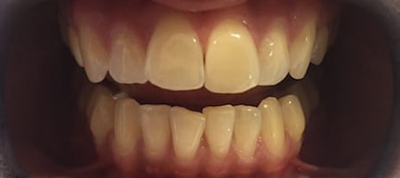
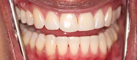
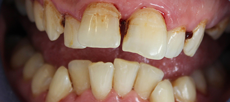
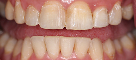
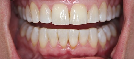
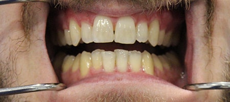
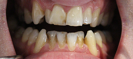
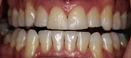
Before & After
Braces Smile Gallery
Milton Keynes
As Featured On
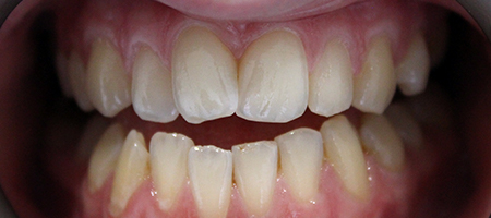
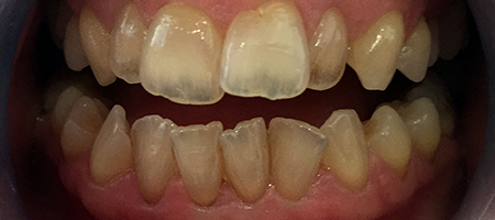
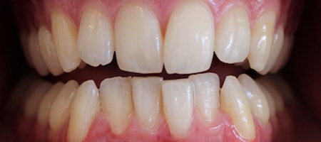
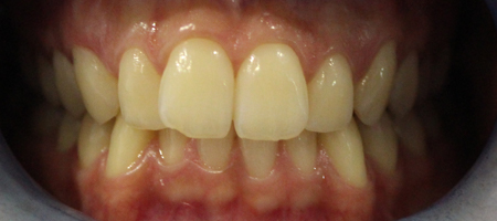
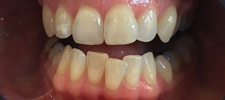
Before and After Braces Treatment
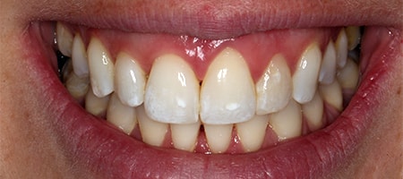
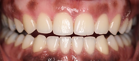
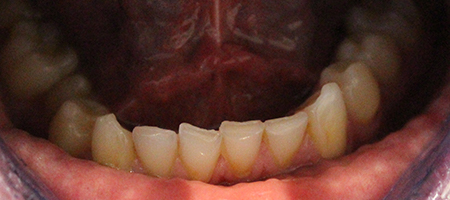
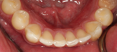
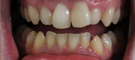
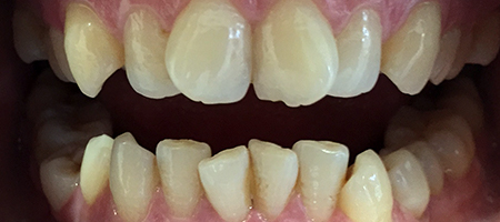
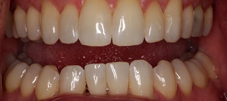
A picture paints a thousand words. Below are examples of smile makeover examples from simply whitening teeth, using Invisalign clear braces or full smile makeovers using veneers, crowns and implants.
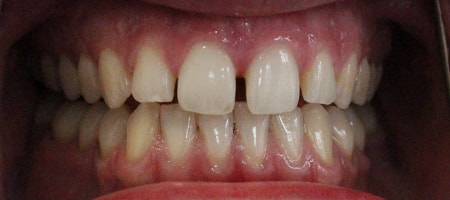
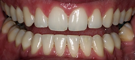
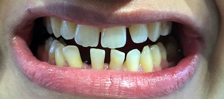
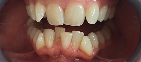
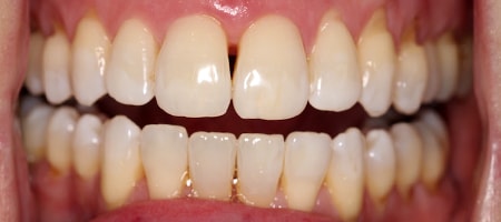
Spacing or Gaps
























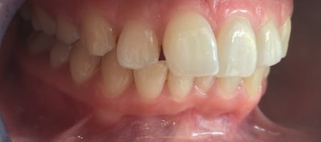
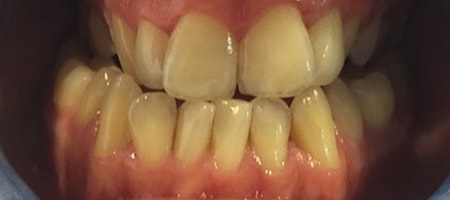
Crossbite




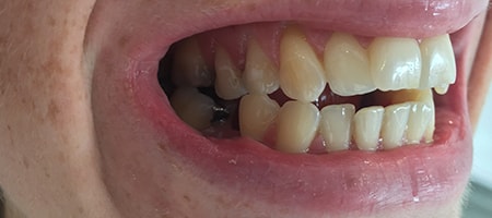
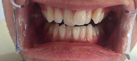
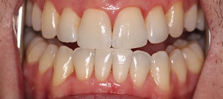
Overbite




Open Bite








Under Bite




















































































































